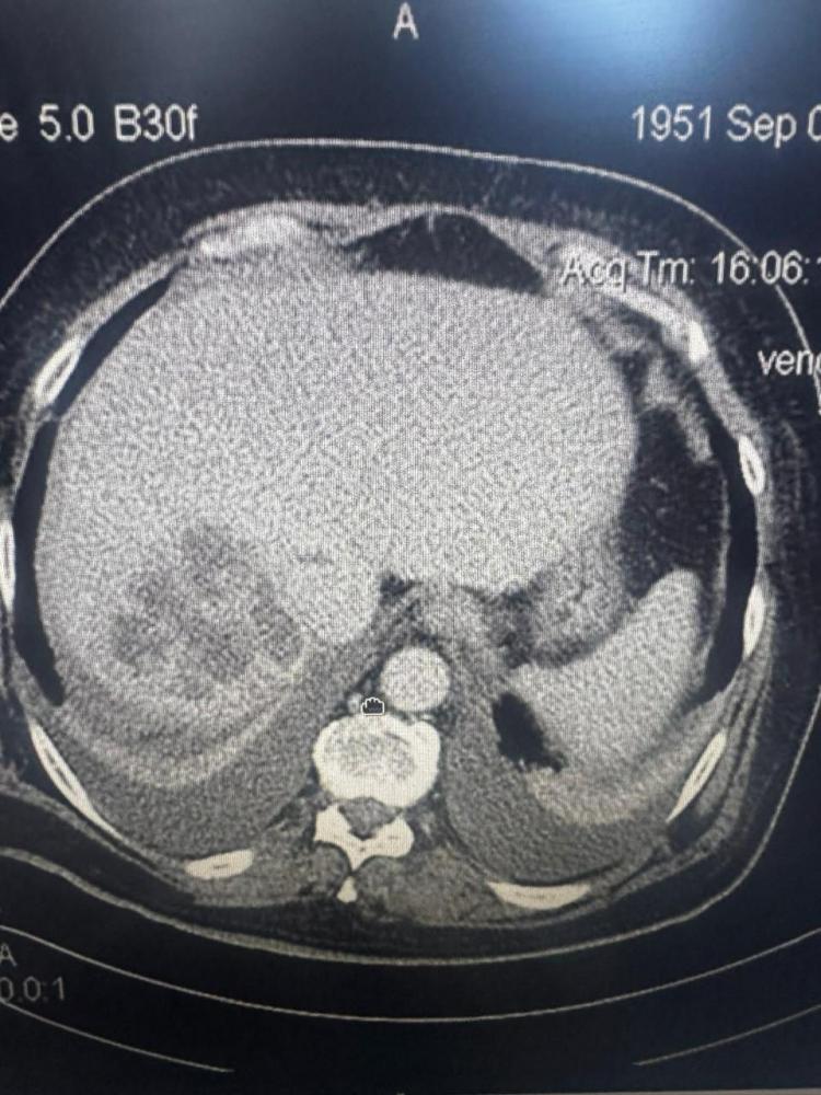
Бригада скорой помощи доставила во Владивостокскую клиническую больницу № 1 53-летнего мужчину, потерявшего сознание от сильных болей в животе. Экстренное УЗИ выявило критическое состояние: огромная киста полностью перекрывала печень и требовала немедленного вмешательства.
Руководитель отделения общей хирургии Игорь Кондрашов рассказал, что под местной анестезией и контролем УЗИ хирурги оперативно установили дренаж. Из кисты было эвакуировано около двух литров жидкости, после чего в полость ввели специальные склерозирующие препараты, чтобы предотвратить повторное наполнение.
Благодаря слаженной работе команды хирургов, анестезиологов и специалистов УЗИ малоинвазивная процедура прошла быстро и безопасно, позволив избежать больших разрезов и долгой реабилитации. После нескольких дней наблюдения в стационаре пациент сможет вернуться домой, полностью восстановившись.








































