В Приморье врачи спасли пациента с тяжёлыми травмами и переохлаждением после падения на скользкой дороге

5 февраля 2026, 10:45

В Приморье врачи спасли пациента с тяжёлыми травмами и переохлаждением после падения на скользкой дороге

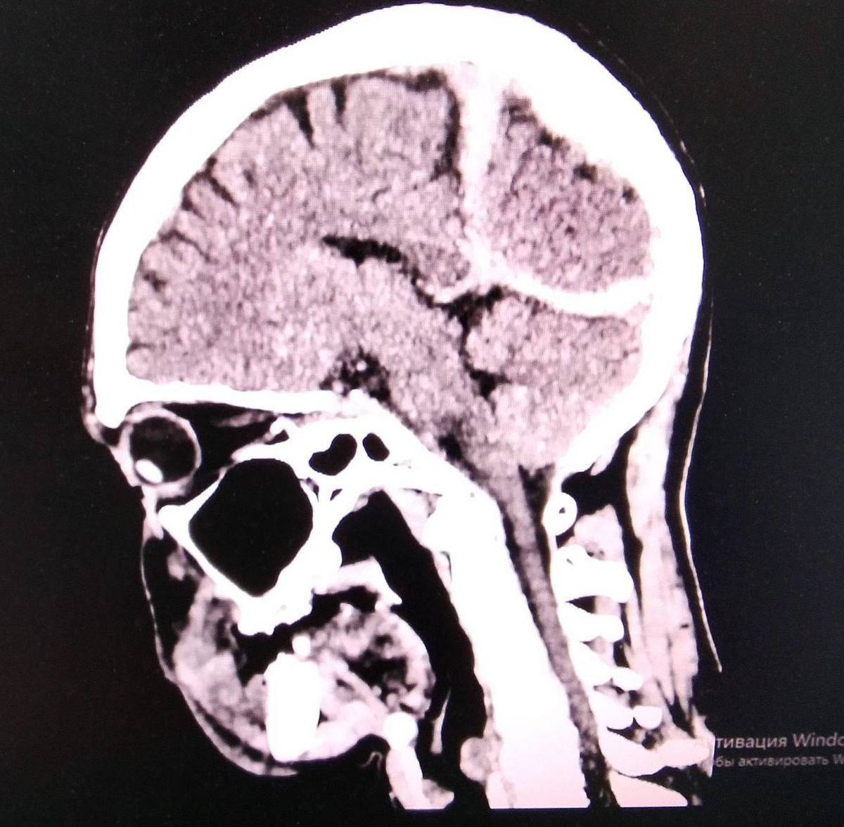
В январе житель Спасска-Дальнего получил тяжёлые травмы после падения на скользкой дороге. Он был одет не по погоде, потерял сознание и около трёх часов находился на морозе, что привело к общему переохлаждению. Пострадавшего обнаружили местные жители, после чего он был экстренно доставлен в Спасскую городскую больницу.

Подробнее

Источник: @minzdravpk

Подпишись на NewsVL.ru

Популярные новости за сутки

Больше новостей на Primorsky-news.ru