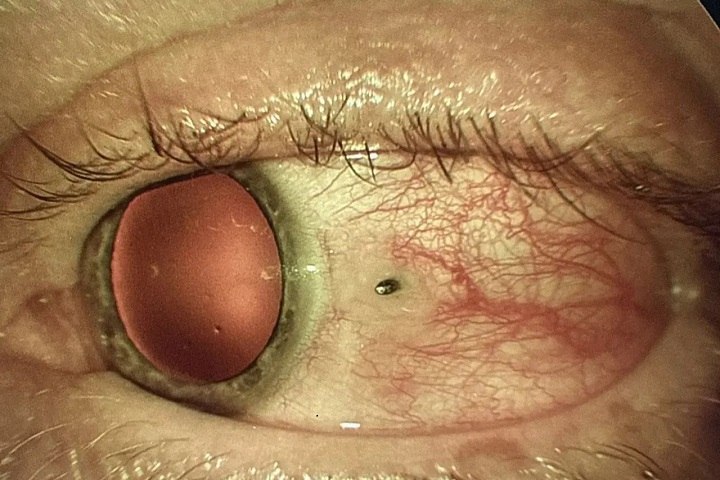
Житель Приморья получил тяжелую травму глаза при работе со шлифовальной щеткой
Металлическая щетинка отлетела от инструмента и вонзилась мужчине в глаз. Пациент самостоятельно обратился в травмпункт ККБ № 2: часть проволоки торчала снаружи, а другой конец прошел внутрь глазного яблока, остановившись в 3,5 мм от роговицы.
Хирурги удалили инородное тело и ушили рану. По словам врачей, пациенту повезло: в месте повреждения нет сетчатки, что позволило избежать слепоты. Сейчас мужчина идет на поправку.
Врачи напоминают: при работе с инструментами обязательно используйте защитные очки.
: kkb2prim











































